
Australia women vs India women Asia Cup 2025 update
September 21, 2025Cancer Explained: Types, Causes, Symptoms, Treatment & Prevention (Ultimate Guide)
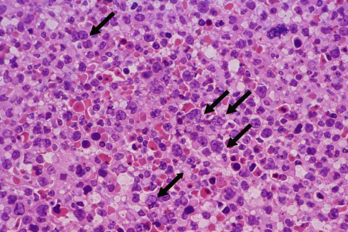
Cancer is a group of diseases in which abnormal cells grow uncontrollably and may spread to other parts of the body. It develops when genetic mutations disrupt the normal life cycle of cells, causing them to divide rapidly and avoid natural cell death. Over time, these abnormal cells can form tumors or spread through the blood and lymphatic system, a process known as metastasis.
There are different types of cancer depending on where it begins, such as carcinomas (organs and skin), sarcomas (bones and tissues), leukemia (blood), and lymphomas (immune system). Cancer can be caused by a combination of factors, including smoking, poor diet, radiation exposure, infections, and inherited genes.
Symptoms vary but often include unexplained weight loss, fatigue, lumps, skin changes, or persistent pain. Because early stages may show few signs, regular health check-ups are important. Diagnosis usually involves imaging tests and a biopsy to confirm the presence of cancer.
Treatment depends on the type and stage and may include surgery, chemotherapy, radiation therapy, immunotherapy, or targeted therapy. While not all cancers can be prevented, adopting a healthy lifestyle, avoiding risk factors, getting vaccinated, and undergoing regular screenings can significantly reduce the risk.
Overall, cancer is a complex but increasingly manageable disease, especially when detected early and treated with modern medical approaches.
The writer name of shoubhik maity
Table of Contents
1. What is Cancer? (Detailed Explanation)

Cancer is a collection of diseases that involve the uncontrolled growth and spread of abnormal cells in the body. In order to fully understand cancer, one must first understand how normal cells function. In the normal human body, cells, tissues, and organs function, grow, and die in a very precise manner. The function of cells, tissues, and organs is carried out by genes, which are located in the DNA of the cell. The genes function like a blueprint or a set of directions that tell the cell when to function, when to repair itself, and when to stop. Cancer develops when these directions become altered or damaged because of mutations in the DNA.
These mutations occur for a number of reasons, such as exposure to harmful substances like tobacco, infection, or even errors during cell division. When these mutations occur in critical genes, like those controlling cell growth, the cells start behaving abnormally. They start growing rapidly, do not die, and start piling up.

As a result, this uncontrolled growth takes the form of a mass of tissue, called a tumor. Tumors are of two types: benign, or non-cancerous, and malignant, or cancerous. While benign tumors grow slowly and do not invade other areas of the body, malignant tumors are dangerous because they have the ability to invade surrounding tissues and spread to distant areas of the body through the bloodstream or the lymphatic system, a phenomenon called metastasis.
Not only is cancer not one disease, but it is a group of more than 100 different cancers, each characterized by the cell or tissue from which it arises. Carcinomas, for example, begin in the skin or organs, sarcomas begin in connective tissue, leukemia begins in tissues of the blood, and lymphomas begin in the immune system.
One of the most puzzling aspects of cancer is its ability to quietly develop in the body without apparent symptoms for many years. In fact, even when cancer is at its early stages, it does not usually hurt or have obvious signs, making early detection and screening extremely important. However, as cancer progresses, it may begin to manifest through various signs, depending on its location, such as unexpected weight loss, fatigue, lumps, pain, and alterations in normal body functions.
Another significant idea to grasp is that cancer cells are “immortal,” meaning that while normal body cells divide a certain number of times before they die, cancer cells divide infinitely. In addition, cancer cells are able to deceive the body’s immune system, making it difficult to identify and destroy them.

Cancer can be defined as a malfunction of the body’s internal control system. In this case, the body’s cells do not comply with the rules and regulations set by the body. They multiply uncontrollably, invade other body areas, and interfere with normal body functions. In some instances, this interference may be with vital body organs, which may be life-threatening.
Cancer is not always a death sentence. Medical science has made tremendous progress in understanding cancer and has also developed ways of treating and curing the disease. There are many forms of cancer that are treatable and curable, particularly when the disease is at an early stage.
Key Points to Remember:
• Cancer results from mutations in the DNA that interfere with normal cell behavior.
• Cancer results in uncontrolled cell growth, which leads to the formation of tumors.
• The uncontrolled growth of cells, which form tumors, can spread to other parts of the body.
• There is not just one type of cancer, but many different kinds.
• The earlier the detection, the greater the chances of treating the cancer.
2. How Cancer Develops (Step-by-Step Detailed Explanation)
Cancer is not something that happens overnight; it is a gradual process that happens over a long period of time. It starts at a cellular level within a single cell and progresses gradually into a major disease of the entire body. To really understand how cancer happens, it is vital to understand the process of how it happens and the different stages of the process.

1. DNA Damage (Initiation Stage)
Cancer formation begins with a cell’s DNA being damaged. DNA is like a manual that tells a cell how to operate, how to grow, and how to divide. If a cell’s DNA is damaged—through smoking, radiation, chemicals, viruses, or even natural cell division mistakes—then the manual becomes flawed.
The body has a natural mechanism to repair DNA mistakes. However, there are instances where the mistake is so severe that the cell cannot be repaired. That is where the process of making a cell abnormal begins.
2. Mutation Accumulation
It is rare for a single mutation to cause cancer. Rather, a number of mutations accumulate over time in a cell. These mutations are of critical types of genes:
• Oncogenes – promote cell growth (overactive)
• Tumor suppressor genes – stop cell growth (inactive)
• DNA repair genes – repair cell damage (not functioning properly)
These mutations add up until the cell loses control of normal functions.
3. Uncontrolled Cell Division (Promotion Stage)
When the cell’s growth control system becomes dysfunctional, the cell starts to divide faster than normal. This stage is called promotion. Unlike normal cells, which receive signals to stop dividing, abnormal cells do not receive or respond to such signals.
During this stage:
• Cells multiply continuously
• Cells do not die at the right time (apoptosis)
• Cells form a group of abnormal cells
This stage is reversible if the cause of the cell’s dysfunction is eliminated (for example, stop smoking or stop exposure to a certain toxin).
4. Tumor Formation (Progression Stage)
As the abnormal cells continue to multiply and grow, they form a mass of cells called a tumor. This is the progression stage of cancer development.

Cells in this phase:
• Multiply and grow rapidly and chaotically
• Become more unstable
• The size of the tumor increases
Tumors can be:
• Benign (non-cancerous) – cannot metastasize
• Malignant (cancerous) – can metastasize
5. Angiogenesis (Blood Supply Development)
The cancer cells need to develop their own network of blood vessels to carry more oxygen and nutrients in order to increase in size beyond a small degree. This is called angiogenesis.
This enables:
• Rapid multiplication and growth of cancer cells
• Survival of cancer cells
• Spreading of cancer cells
6. Invasion of Nearby Tissues
As the development of cancer advances, cancer cells develop the ability to invade nearby tissues of the body.
This invasion:
• Harms other organs in the body
• Disrupts normal body function
• Complicates the cancer’s treatment
7. Metastasis (Spread to Other Parts of the Body)
Metastasis is one of the worst aspects of cancer development.
In metastasis, cancer cells leave their original site and travel through the bloodstream or the lymphatic system to other parts of the body.
They can:
• Develop new tumors in other parts of the body (like the lungs, liver, or brain)
• Spread quickly to other parts of the body
• Make the disease life-threatening

8. Evasion of the Immune System
Normally, abnormal cells are detected and destroyed by the immune system.
However, cancer cells develop ways to evade the immune system.
They can:
• Evade detection
• Inhibit the immune system
• Grow uncontrollably
Simple Summary (Easy Understanding)
The development of cancer is a step-by-step process:
1. DNA is damaged
2. Mutations occur
3. Cells grow out of control
4. A tumor forms
5. The tumor gets its own blood supply
6. Cancer spreads to nearby tissue
7. Cancer spreads throughout the body
Final Understanding
The development of cancer is like a system failure in the body. Cells in the body have to follow strict rules. However, cancer cells start to break the rules one by one. First, the cells do not follow the rule of growing in control. Then, the cells do not follow the rule of dying. Finally, the cells start to spread and dominate the body.
The most important thing to understand is that cancer is not the result of a single event. Instead, it is the accumulation of several changes in the body. This is why prevention is crucial in the development of cancer. By making healthy lifestyle choices and not engaging in cancer-causing behaviors, you can slow down or even stop the development of cancer.
3. Types of Cancer (Complete Detailed Explanation)

Cancer is not just one disease but rather a term used to describe over 100 different diseases. They are all characterized by abnormal cell growth. The different types of cancer are mainly categorized by the location of the cancer in the body and the type of cells. The different types of cancer are important to know. This is due to the fact that each type of cancer grows and spreads in a different way and requires different treatment options.
1. Carcinoma – Most Common Type of Cancer
Carcinoma is the most common type of cancer. This type of cancer accounts for 80-90% of all cancer cases. Carcinoma develops in the epithelial cells. The epithelial cells are the ones found on the surfaces of the body.
Common Examples:
• Lung cancer
• Breast cancer
• Prostate cancer
• Colorectal cancer
• Skin cancer
Key Features:
• They start in an organ or gland.
• They tend to spread to other areas of the body.
• They are often found through screening tests.
Carcinomas have several subcategories:
• Adenocarcinoma: This type of cancer begins in gland cells. Examples of adenocarcinoma include breast cancer and colon cancer.
• Squamous cell carcinoma: This type of cancer begins in flat cells. Examples of squamous cell carcinoma include skin cancer and lung cancer.
• Basal cell carcinoma: This type of cancer occurs in the skin.
2. Sarcoma (Connective Tissue Cancer)

Sarcoma is a rare form of cancer that occurs in connective tissues, which are usually found supporting all parts of the body.
Examples:
• Osteosarcoma, which occurs in the bone
• Liposarcoma, which occurs in fat tissue
• Leiomyosarcoma, which occurs in muscles
Key Features:
• Less common but aggressive form of cancer
• Can occur anywhere on or inside the body
• More prevalent among younger people compared to carcinomas
3. Leukemia (Blood Cancer)

Leukemia is a form of cancer that occurs in blood-producing tissues, most often in the bone marrow.
What Happens:
• The body produces abnormal white blood cells
• These abnormal cells do not work properly
• These abnormal cells replace normal blood cells
Types of Leukemia:
• Acute leukemia, fast-growing cells
• Chronic leukemia, slow-growing cells
Symptoms:
• Fatigue
• Frequent infections
• Easy bleeding or bruising
4. Lymphoma (Lymphatic System Cancer)
Lymphoma is cancer of the lymphatic system, which is part of the human immune system. The cancer affects the lymphocytes, which are part of the white blood cells.
Main Types:
• Hodgkin lymphoma
• Non-Hodgkin lymphoma
Key Features:
• Causes swollen lymph nodes
• Affects the immune system
• Spreads to the spleen, bone marrow, and sometimes to other parts of the body
5. Myeloma (Plasma Cell Cancer)
Myeloma is cancer of the plasma cells. Plasma cells are a type of white blood cell and play an important role in the production of antibodies.
What Happens:
• Abnormal plasma cells accumulate in the bone marrow
• Affects the production of normal blood cells
• Damages the bones and the immune system
Example:
• Multiple myeloma (common type of cancer)
6. Melanoma (Skin Cancer)

Melanoma is cancer of the melanocytes. Melanocytes produce the pigment or the color of the skin.
Key Features:
• Less common and more serious compared to other skin cancers
• Spreads quickly if not treated in time
• Often linked to the sun
Warning Signs:
• Change in the size of moles
• Change in the borders of moles
• Rapid development of skin spots
7. Central Nervous System (CNS) Cancers
These cancers develop in the brain or the spinal cord.
Examples:
• Brain cancers
• Gliomas
Key Features:
• These cancers often impact movement, memory, or behavior.
• These cancers can be either benign or malignant.
• These cancers can be hard to treat because of their location.
8. Germ Cell Tumors

These cancers develop in the cells responsible for the production of sperm or eggs.
Common Locations:
• Testicles
• Ovaries
Key Features:
• These cancers often impact young individuals.
• These cancers are often easy to treat.
9. Rare Types of Cancer
There are some cancers that cannot be classified into the above types or categories, so they are termed rare.
Examples:
• Neuroendocrine cancers
• Mesothelioma, which develops due to asbestos
• Adrenal cancers
Classification Based on Spread
Cancer can also be classified based on how it spreads:
• Localized Cancer – Stays within one location
• Regional Cancer – Spreads to the surrounding areas
• Metastatic Cancer – Spreads to distant areas
Simple Summary (Easy Understanding)
All cancers are classified into broad categories:

• Carcinoma – Organs and skin
• Sarcoma – Bones and muscles
• Leukemia – Blood
• Lymphoma – Immune system
• Myeloma – Plasma
• Melanoma – Skin pigment
• CNS Cancers – Brain and spinal cords
Final Understanding
To sum up everything, the “type” of cancer is based on where the cancer started and which body part it has affected. If two cancers are affecting the same organ, the type of cancer can cause a big difference in how the disease progresses. It is therefore essential for a doctor to diagnose the type of cancer first before determining the best treatment option.
Benefits of Understanding Cancer Types
• Helps choose the right treatment
• Helps predict how the disease progresses
• Helps increase chances of survival
4. Causes & Risk Factors of Cancer (Complete Detailed Explanation)

Cancer occurs because of a mix of internal (genetic) and external factors, which ultimately lead to harm in a cell’s DNA. But one thing must be made clear: when we say “causes,” it directly leads to cancer, whereas when we say “risk factors,” it only increases the chances but does not guarantee cancer. Many people may have risk factors but may not get cancer, and vice versa.
Let’s break this down so all doubts are removed:
🔬 What Causes Cancer? (Root Cause Explained)
Essentially, cancer is caused by mutations in the DNA. These mutations interfere with normal cell function, especially:
• Cell growth
• DNA repair
• Cell death
When these processes fail, cells start growing out of control, which leads to cancer.
Main Sources of DNA Damage:
1. Exposure to the environment
2. Our lifestyle
3. Biological factors
4. Genetic inheritance
⚠️ Major Risk Factors of Cancer
1. Tobacco Use (Leading Cause)
Tobacco is the biggest single preventable cause of cancer.
It includes:
• Cigarettes
• Gutka or chewing tobacco
• Cigars
Linked Cancers:
• Lung cancer
• Mouth cancer
• Throat cancer
• Bladder cancer
Why It’s Dangerous:
Tobacco contains over 70 cancer-causing substances, which damage the DNA.
2. Unhealthy Diet

The food you eat plays an important part in the development of cancer.
Risky Diet Habits:
• Consuming too much processed food
• Consuming too much red or processed meat
• Consuming too few fruits and vegetables
Linked Cancers:
• Colon cancer
• Stomach cancer
Why:
The foods you eat can cause inflammation, obesity, and oxidative stress, leading to cancer.
3. Obesity & Lack of Physical Activity
Obesity can lead to the development of several types of cancer.
Linked Cancers:
• Breast cancer
• Colon cancer
• Liver cancer
Reason:
• Hormone imbalance
• Inflammation
• Increase in insulin level
4. Alcohol Consumption
Alcohol, even in moderate amounts, can lead to cancer.
Linked Cancers:
• Liver cancer
• Breast cancer
• Mouth & throat cancer
Why:
Alcohol contains acetaldehyde, a toxic substance, which damages the DNA.
5. Radiation Exposure

Radiation is a highly potent cancer-causing agent.
Types:
• Ultraviolet Rays → Sunlight
• Ionizing Radiation → X-rays, Nuclear Exposure
Linked Cancers:
• Skin Cancer → Melanoma
• Thyroid Cancer
6. Environmental Pollution
Exposure to polluted air, water, and land increases the risk of cancer.
Types:
• Air Pollution → Vehicle Smoke, Industrial Waste
• Chemical Exposure → Asbestos, Benzene
Linked Cancers:
• Lung Cancer
• Mesothelioma
7. Infections (Viruses and Bacteria)
Certain infections have the potential to cause cancer.
Types:
• HPV (Human Papilloma Virus) → Cervical Cancer
• Hepatitis B and Hepatitis C → Liver Cancer
• Helicobacter Pylori → Stomach Cancer
8. Genetic Factors (Family History)
Certain people have the genetic potential to develop cancer.
Types:
• BRCA1 and BRCA2 → Breast and Ovarian Cancer
Important Note:
Cancers due to genetic factors account for 5-10% of cancer cases. However, the risk of cancer is high in the following conditions:
• Multiple Cases in the Family
• Young Age of Onset
9. Hormonal Factors

Hormones can affect the development of cancer.
Examples:
• Estrogen → Breast Cancer
• Testosterone → Prostate Cancer
10. Age (Natural Risk Factor)
The older you get, the higher the risk of getting cancer.
Why:
• More time for mutations to develop
• Weakening Immune System
🧠 Key Concept: Not All Risk = Cancer
This is very important to remember:
👉 Having a risk factor does NOT mean you will get cancer
👉 But it does mean you have a higher probability of getting it
Example:
• Smoker → Higher Risk for Lung Cancer
• But does not mean you will get it for sure
🛡️ Preventable vs Non-Preventable Risks
Preventable (You Can Control)
• Smoking
• Diet
• Alcohol
• Physical Inactivity
• Too Much Sun Exposure
Non-Preventable (You Cannot Control)
• Age
• Genetics
• Some Infections
📊 Simple Summary (Easy Understanding)
Cancers develop due to the following reasons:
• Lifestyle
– Smoking
– Drinking
– Diet
• Environmental
– Pollution
– Too Much Exposure to the Sun
• Biological
– Infection
– Hormones
• Genetic
• Age
✅ Final Understanding
Cancers develop because of the combination of several risk factors over time, causing gradual damage to the DNA, affecting the way cells behave, and eventually causing cancer.
The most important thing to remember is:
👉 Cancers can be prevented
👉 Simple lifestyle changes can reduce the risk of getting cancer
• Stop Smoking
• Eat Healthy
• Exercise Regularly
• Too Much Exposure to the Sun
• Get Vaccinated (HPV, Hepatitis B)
• Get Regular Health Checkups
5. Symptoms of Cancer (Complete Detailed Explanation)

The symptoms of cancer may differ according to the nature of the disease, its location, and its stage. One of the most important aspects of understanding cancer is realizing that, in its early stages, cancer does not have any symptoms, making regular checkups and screenings a must. When cancer grows or progresses, it starts interfering with normal body functions, leading to its symptoms.
Let’s break down all the possible symptoms in a clear and detailed way so there is no confusion.
⚠️ General Symptoms of Cancer (Common Across Many Types)
These symptoms can be present in various types of cancer:
1. Unexplained Weight Loss
• Losing weight without dieting or exercising
• Often the first sign of cancer
• Common in cancers such as cancer of the pancreas, stomach, lung, or esophagus
👉 Why it happens: The cancer cells require a lot of the body’s energy.
2. Persistent Fatigue

• Feeling extremely tired without relief even after resting
• Feeling weak all the time
👉 Why it happens: The cancer affects the red blood cells, causing fatigue.
3. Pain (Persistent or Unusual)
• Pain in the same area all the time
• Headaches, bone, or abdominal pain
👉 Why it happens: Pain often occurs in the later stages but varies.
4. Fever or Night Sweats
• Having high fever without infection
• Sweating during sleep
👉 Why it happens: This often happens in blood cancers such as leukemia or lymphoma.
5. Loss of Appetite
• Lack of appetite for food
• Feeling full too soon
🔍 Local Symptoms (Based on Cancer Location)
1. Lump or Swelling

• Painless lump in the breast, neck, testicles, etc.
• One of the first symptoms that are most noticeable
👉 Example: Lump of cancer in the breast
2. Changes in Skin
• Formation of new moles or changes in existing moles
• Darkening of the skin, redness, or yellowing of the skin
• Sores that do not heal
👉 Warning Rule (ABCDE):
• A – Asymmetry of moles
• B – Border of moles
• C – Color of moles
• D – Diameter of moles
• E – Evolving moles
3. Persistent Cough or Hoarseness
• Coughing that lasts more than 2-3 weeks
• Hoarseness of voice
👉 Possible symptoms of lung and throat cancer
4. Changes in Bowel or Bladder Habits
• Constipation or diarrhea lasting long
• Blood in stool or urine
• Frequent urination
👉 This symptom is associated with colon cancer, bladder cancer, prostate cancer
5. Difficulty Swallowing
• Painful swallowing
• Feeling of food being stuck in the throat
👉 This symptom may indicate cancer of the esophagus and throat
6. Unusual Bleeding or Discharge
• Blood in urine, stool, cough
• Abnormal bleeding in women
👉 This symptom indicates cancer and should never be ignored
🧠 Symptoms of Advanced Cancer
The symptoms of cancer get worse if the cancer metastasizes. The symptoms of metastasized cancer are:
• Severe tiredness
• Pain
• Difficulty in breathing
• Organ failure symptoms like liver, lungs, and brain
⚡ Silent Cancers (No Early Symptoms)
Some cancers do not have early symptoms. The cancers that do not have early symptoms are:
• Pancreatic cancer
• Ovarian cancer
• Kidney cancer
🚨 When Should You See a Doctor?
You need to visit a doctor if you have:
• Lasting symptoms for more than 2-3 weeks
• Unusual changes in your body
• Pain or tiredness that doesn’t go away

• Any unusual bleeding
📊 Simple Summary (Easy Understanding)
Some of the most common signs of cancer are:
• Weight loss
• Fatigue
• Lump or swelling
• Persistent coughing
• Skin change
• Pain
• Bleeding
• Digestion or urination change
✅ Final Understanding
Cancer signs are generally non-specific; i.e., they are also signs of many other diseases that are much less serious. The only difference is that cancer signs are persistent and progressing.
👉 When you have a symptom:
• That doesn’t go away
• That gets worse over time
• That has no obvious cause
You should never ignore it.
The most important thing to know is:
✔ Early cancer often has no symptoms
✔ Recognizing the signs of cancer early on can save your life
✔ Screening for cancer is equally important
6. Diagnosis of Cancer (Complete Detailed Explanation)

Diagnosis of Cancer
Diagnosing cancer is a step-by-step medical process that helps us identify whether a person has cancer or not, what type of cancer it is, where it has occurred, and how far it has spread. It is not a single test but a combination of tests.
The first and foremost thing to understand is:
👉 Symptoms do not prove that a person has cancer
👉 A tissue test is the final test
Let’s go through the entire process of diagnosing cancer so that all doubts are cleared.
🩺 1. Medical History & Physical Examination
The first step of diagnosing cancer is a basic evaluation by a doctor.
What a Doctor Does:
• Medical history of the person
• Medical history of the person’s family
• Lifestyle habits of a person
• Duration of symptoms
Physical Examination:
• Checking lumps
• Checking swelling
• Checking changes on the skin
• Checking the lungs and heart
• Checking lymph nodes
👉 After this step, a doctor decides which test is to be conducted next.
🔬 2. Screening Tests (Early Detection)
These tests are conducted before the onset of symptoms, particularly for people at higher risk.
Commonly Conducted Screening Tests:
• Mammography test → Breast Cancer
• Pap smear test → Cervical Cancer
• Colonoscopy test → Colon Cancer
• PSA test → Prostate Cancer
👉 Note: These tests are conducted to detect cancer at an early stage when it is more treatable.

🧪 3. Laboratory Tests (Blood & Body Fluids)
Blood tests cannot directly diagnose cancer but are useful indicators.
Types of Tests:
• Complete Blood Count
• Tumor Markers
• Liver & Kidney Function
What Do These Tests Indicate?
• Abnormal cell counts
• Organ dysfunction
• Presence of disease activity
👉 Note: Leukemia is a type of cancer that is often indicated by abnormal cell counts.
📸 4. Imaging Tests (Looking Inside the Body)
These tests are conducted to identify the location of tumors and their extent of growth.
Commonly Conducted Imaging Tests:
• X-ray test → Basic imaging
• CT Scan (Computed Tomography) → Detailed imaging
• MRI (Magnetic Resonance Imaging) → Soft tissue imaging
• Ultrasound test → Real-time imaging
• PET Scan → To detect cancer cell activity
What Do These Tests Do?
• To identify abnormal cell masses
• To identify the extent of tumors
• To identify the metastasis of tumors
🧫 5. Biopsy (Most Important Step)
A biopsy is the most reliable method of cancer diagnosis.
What Happens:
A small amount of tissue is removed and examined under a microscope.
Types of Biopsy:
Needle biopsy, surgical biopsy, endoscopic biopsy.
What It Confirms:
Presence of cancer, type of cancer, and grade of cancer.
👉 Cancer diagnosis is not confirmed without a biopsy.
🧬 6. Pathology & Molecular Testing

The removed tissue is examined in detail.
It includes:
Histopathology of the cells, genetic tests to identify cancer-causing mutations, and biomarker tests.
Why It Matters:
It helps in choosing targeted treatment options.
It helps in identifying which treatment will work best.
It helps in developing a treatment plan.
📊 7. Staging (How Advanced is the Cancer?)
After cancer diagnosis, the cancer’s stage is identified.
Common Staging System:
The TNM system of staging cancer:
T – tumor size.
N – involvement of lymph nodes.
M – metastasis.
Stages:
Stage 0 – early cancer.
Stage 1 and 2 – cancer has spread locally.
Stage 3 – cancer has spread to adjacent areas.
Stage 4 – cancer has spread to distant sites.
🧠 8. Additional Tests (If Needed)
Depending on the situation, the following tests might be recommended:
• Bone scan
• Endoscopy
• Genetic tests (if the cancer was inherited)
⚠️ Important Things to Understand
• Not all lumps are cancer
• Not all signs or symptoms mean cancer
• It takes several tests to be sure
• Early detection means longer life
📊 Simple Summary (Easy Understanding)
The steps involved in the diagnosis of cancer include:
1. Doctor’s examination
2. Screening tests
3. Blood tests
4. Imaging tests
5. Biopsy (final test)
6. Staging (the level to which it has spread)
✅ Final Understanding
The diagnosis of cancer is not based on one test or piece of evidence. It requires the combination of several methods to obtain the full picture.
The most important thing to remember is:
👉 Biopsy confirms cancer
👉 Early detection means longer life
👉 Accurate diagnosis means accurate treatment
7. Treatment Options for Cancer (Complete Detailed Explanation)

Cancer treatment is a medical process by which cancer is removed from the body or controlled. There are many ways of treating cancer. Which one to use depends on a number of significant factors:
• Kind of Cancer
• How Advanced It Is
• Where It Is
• Your Health
👉 Important point to remember:
There is no single treatment that can cure all cancers.
Doctors may use a combination of treatments to get the best results.
Let’s look at all the major ways of treating cancer in a detailed and clear way.
🏥 1. Surgery (Physical Removal of Cancer)
Surgery is one of the oldest forms of treating cancer.
What It Does:
• Removes Cancer from the Body
• May Also Remove Cancer from Nearby Body Parts
When It’s Used:
• Cancer That Is Still at an Early Stage
• Cancer That Has Not Spread from Where It Originated
Advantages:
• Cancer Can Be Cured
• Cancer Is Removed from the Body
Disadvantages:
• Does Not Work If Cancer Has Already Spread
💊 2. Chemotherapy (Drug Treatment)
Chemotherapy is a medical treatment by which cancer is removed from the body by means of powerful drugs.
How It Works:
• Targets Cancer Cells
• Stops Cancer Cells from Multiplying
Given As:
• Injections
• In Tablet Form
Side Effects:
• Hair Loss
• Nausea
• Vomiting
• Weak Immune System
👉 Reason:
Because It Also Kills Healthy Cells That Multiply Rapidly.
⚡ 3. Radiation Therapy (High-Energy Treatment)

Radiation therapy is a treatment method that makes use of high-energy rays, such as X-rays, to kill cancer cells.
Types:
• External beam
• Internal radiation
When Used:
• To reduce the size of the cancer
• Following surgery to kill cancer cells
Benefits:
• Affects the targeted area
• Affects the body minimally
🧬 4. Immunotherapy (Boosting the Immune System)
Immunotherapy is a treatment method that seeks to boost the body’s immune system to fight cancer cells.
How It Works:
• Strengthens the immune system
• Removes the “hide and seek” ability of cancer cells
Examples:
• Checkpoint inhibitors
• CAR-T cell therapy
Benefits:
• More targeted
• Fewer side effects compared to chemotherapy
🎯 5. Targeted Therapy (Precision Medicine)

Targeted therapy is a treatment method that targets cancer cells by focusing on the genes and proteins that contribute to cancer development.
How It Works:
• Blocks the signal sent by cancer cells
• Only targets cancer cells
Benefits:
• More precise
• Tailored to the type of cancer the patient is suffering from
🧪 6. Hormone Therapy
Cancer develops in the body as a result of hormones.
Used For:
• Breast cancer
• Prostate cancer
What It Does:
• Stops the production of hormones
• Stops the cancer from developing
🩸 7. Stem Cell / Bone Marrow Transplant
Mainly used for blood cancers.
Purpose:
• Replace damaged bone marrow
• Regulate healthy production of blood cells
🔥 8. Palliative Treatment (Supportive Care)
Used when cancer cannot be cured but must be treated.
Focus:
• Relieves pain
• Improves quality of life
• Controls symptoms
👉 Important: It is not about curing but comfort and care.
🔄 Combination Therapy (Most Common Approach)
Doctors use a combination of therapies for maximum results:

• Surgery + Chemotherapy
• Radiation + Chemotherapy
• Targeted therapy + Immunotherapy
👉 This gives maximum results and minimizes chances of recurrence.
⚠️ Side Effects of Cancer Treatment
Side effects vary from one treatment method to another:
• Fatigue
• Hair loss
• Pain
• Weak immunity
• Digestive problems
👉 These are managed by doctors with supportive medications.
📊 Simple Summary (Easy Understanding)
The main treatments for cancer are:
Surgery – Cut out the cancer.
Chemotherapy – Use drugs to destroy cancer.
Radiation – Use energy to destroy cancer.
Immunotherapy – Make your body stronger.
Targeted therapy – Use drugs to attack cancer.
Hormone therapy – Use drugs to stop hormones.
Transplant – Put new healthy cells in your body.
✅ Final Understanding
Cancer treatment is a personal and strategic approach based on the patient’s condition.
The key points to keep in mind are:

👉 Early stage of cancer – More chances of a cure.
👉 Late stage of cancer – More chances of a cure with a combination of treatments.
👉 Cancer treatments are becoming more targeted and effective.
In today’s world, many types of cancer are treatable and even curable with the advancements in medical science.
8. Prevention of Cancer (Complete Detailed Explanation)
Cancer prevention means reducing the chances of getting cancer by controlling your lifestyle, environment, and health habits. Not all cancers can be prevented, especially those caused by genetic factors; however, a large percentage of cancers, i.e., 30-50%, can be prevented by simple lifestyle habits.
The idea we need to grasp is:
👉 Cancer Prevention = Reduction of DNA Damage over Time
Let’s proceed step by step in a detailed manner so that we have a clear understanding of the concept.
🛑 1. Avoid Tobacco Products (Most Important)

Tobacco products are the main cause of cancer.
What to Avoid:
• Cigarettes
• Gutka or Chewing Tobacco
• Passive Smoking or Second-Hand Smoking
Why It Matters:
• It contains harmful chemicals called carcinogens.
• It directly damages your DNA.
• It causes cancer in the lungs, mouth, throat, and bladder.
👉 Stopping tobacco at any age reduces cancer risk
🥗 2. Healthy Diet Habits
A healthy diet plays a significant role in cancer prevention.
What to Consume:
• Fruits and Vegetables
• Grains
• Nuts and Seeds
What to Consume in Limited Quantity:
• Processed Foods
• Meat Products
• Sugary Drinks
🏃 3. Stay Physically Active

Exercise regularly to stay healthy, thus lowering the risk of cancer.
Recommended:
• At least 30 minutes of activity daily
• Walking, jogging, yoga, or sports
Benefits:
• Healthy weight
• Reduces inflammation
• Regulates hormone levels
⚖️ 4. Maintain a Healthy Weight
Obesity has been linked to several types of cancer.
Why It Increases Risk:
• Hormone level imbalance
• Inflammation
• High insulin level
👉 Keeping the weight in check reduces the risk greatly.
🍷 5. Limit Alcohol Consumption
Alcohol consumption has been identified as one of the cancer risk factors.
Safer Approach:
• Abstinence or moderate consumption
Why:
Alcohol contains toxic substances, thus affecting the DNA.
☀️ 6. Protect Yourself from Sun Exposure
Too much sunlight has been identified as one of the cancer-causing factors.
Prevention Tips:
• Use sunscreen (SPF 30+)
• Wear protective clothing
• Avoid direct sunlight (10 AM – 4 PM)
💉 7. Vaccination (Very Effective Prevention)
Cancers such as cervical, liver, and other types have been identified as infections, thus preventable through vaccination.
Important Vaccines:
• HPV vaccine, thus cervical cancer
• Hepatitis B, thus liver cancer
👉 One of the most powerful preventive measures.
🌍 8. Avoid Environmental Pollution
Reduce contact with toxic substances.
Examples:
* Air pollution
* Industrial chemicals
* Asbestos
What You Can Do:
* Wear masks in polluted areas
* Steer clear of toxic environments
🧪 9. Regular Screening & Checkups

Preventive screening for illnesses.
Common Screenings:
* Mammogram
* Pap smear
* Colonoscopy
👉 Detects cancer early before it becomes dangerous.
🧠 10. Manage Stress & Mental Health
Reduce stress, which weakens the immune system.
Helpful Practices:
* Meditation
* Yoga
* Adequate sleep
⚠️ Preventable vs Non-Preventable
Cancers we can prevent, but some factors we cannot.
Preventable:
* Smoking
* Diet
* Alcohol
* Lack of exercise
* Too much sun
Not Fully Preventable:
* Age
* Genetics
* Infection
📊 Simple Summary (Easy Understanding)
How to prevent cancer:
* ❌ Stop smoking
* 🥗 Eat right
* 🏃 Regular exercise
* ⚖️ Weight control
* 🍷 Limit alcohol
* ☀️ Protect from the sun

* 💉 Get vaccinated
* 🧪 Regular screening
✅ Final Understanding
Cancer prevention means making the right decisions every day to avoid long-term damage to your precious body.
The most important thing to remember:
👉 Small habits = Big protection
👉 Consistency is more important than perfection
👉 Early detection saves lives
While we cannot prevent all cancers, we can reduce the risk significantly if we follow the above steps.

